
小梁是一名15岁的小女孩,个子很高,也很爱笑,看起来跟正常女孩儿没有什么区别。其实她在3岁时得了脑炎,虽然脑炎治疗好了,但随后出现了反复的癫痫发作,每天发作2到3次。家长带着小梁到全国各地看病就医,诊断为“继发性癫痫”,药物治疗效果差,多次调整药物治疗方案后癫痫发作仍控制不佳,表现为双眼上翻或凝视,口吐白沫,牙关紧闭,呼之不应,四肢轻微强直抽搐,有时有小便失禁,发作频率为2-3次/日,每次持续时间约5-10分钟,刚睡醒时及夜间发作居多,日间发作较少。
不适合常规手术的药物难治性癫痫
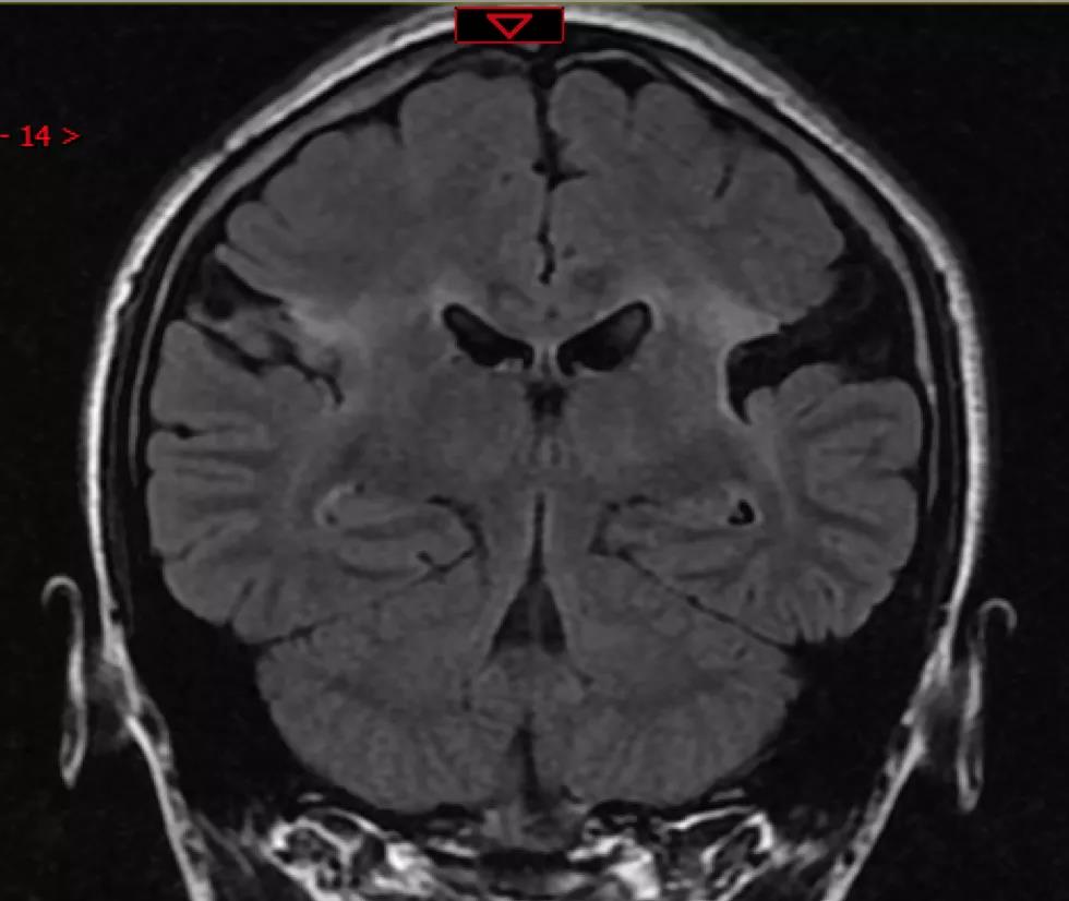
今年5月初,小梁出现一次大发作,发作持续的时间比以前要长,到联勤保障部队第904医院癫痫外科就诊。待病情稳定后,胡医生给她做了相关检查,脑电图提示双侧中央区不同步棘波、尖波、棘-慢波、尖-慢波表现。头颅核磁共振提示,双侧中央区软化灶改变。脑电图和核磁共振的结果都表明,小梁的癫痫发作不能通过常规手术解决。


迷走神经刺激术治疗药物难治性癫痫
小梁的家长很着急,现在她年龄还小,以后还要面临工作、结婚及生子等生活问题,反复的癫痫发作势必会影响她今后的生活。胡医生想到了迷走神经刺激手术(Vagus nerve stimulation,VNS),也叫电子药物,这种微创手术可以通过电流反复刺激神经,起到控制癫痫发作的作用。小梁做了手术后没有出现任何的不适,病情也得到一定的控制,医生也定期为她进行刺激参数的调整,希望她在未来的生活里一直做个爱笑的姑娘。


迷走神经刺激术的特点和优势
随着新型抗癫痫药物(ADEs)的应用和致痫区定位技术的发展,癫痫的药物治疗及手术治疗有了长足的进步,但仍然有很多难治性癫痫患者因不适合行局灶性切除术而没有得到很好的治疗。
迷走神经刺激术(VNS)是同时被美国FDA及欧洲CE认可的,一种辅助治疗难治性癫痫的神经调控方法。当患者不适合手术治疗、不愿进行手术治疗、无法耐受抗癫痫药物且不适合手术治疗、癫痫灶位于功能区、外科手术未能有效控制癫痫发作时,我们建议患者可以考虑VNS治疗。

虽然VNS治疗无法达到完全控制发作,但可减少发作频率或强度、改善患者认知功能,从而提高生活质量;而且刺激时间越长,效果越好。因副作用小,VNS治疗可与抗癫痫药物治疗互补,使更多的不适合手术的药物难治性癫痫患者得到更好的治疗选择。
不过,价格一直是影响VNS实施的一个重要因素,但是随着国产迷走神经刺激器的上市,其价格也会进一步下调,为难治性癫痫患者提供了一个很好的选择。
专家介绍

胡 旭
医学硕士,主治医师,从事神经外科10余年,曾赴美国南佛罗里达大学及清华大学玉泉医院癫痫中心进修。主要从事难治性癫痫相关的治疗,包括立体定向颅内脑电图(SEEG)、难治性癫痫的手术治疗及神经调控治疗(VNS)等。擅长难治性癫痫的外科术前评估、癫痫起源灶的定位、脑电图分析、影像后处理技术、大脑功能区的定位等。
目前担任中国妇幼协会小儿神经微创学组委员,江苏省抗癫痫协会青年委员会委员,江苏省抗癫痫协会共患病专业委员会委员。发表SCI论文2篇,中华级论著3篇,并参与多项临床课题的研究。
科室介绍

联勤保障部队第904医院(无锡院区)癫痫外科
无锡地区唯一开展癫痫外科的科室,为广大药物难治性癫痫患者提供全面的诊断和治疗手段,包括:神经心理评估;全面的癫痫外科术前评估(128导高清视频脑电图、3T磁共振、PET-CT、多模态影像融合技术、SEEG技术等);多种外科手术治疗方案(癫痫致痫灶切除、大脑半球离断或切除、神经调控治疗等)。特别是颞叶内侧癫痫、外伤性癫痫患者通过手术治愈率高,术后复发率极低,并发症也非常少。
公司介绍
常州瑞神安医疗器械有限公司是一家专注于有源植入式医疗器械研发、生产及销售的创新型企业。从2010年开始,清华大学微电子所团队与合作医院开展植入式神经刺激器的试验研究,经过多年的研发试验,于2013年产学研转化后落户于江苏常州国家级开发区,并经过瑞神安团队的长期努力研制成功多项产品。产品质量、性能均达到国际先进水平。

截止目前瑞神安医疗已经研制成功的产品包括植入式迷走神经刺激器,深部热凝脑电极,植入式脊髓刺激器,耳甲迷走神经刺激器等。正在陆续临床上市过程中。
瑞神安的质量方针是:“重视质量就是关爱生命”,将产品质量放在第一位,对产品质量精益求精。公司的创始团队毕业于清华大学,并由清华大学教授,清华创投,上市公司等参与创办。公司的目标是做一个有社会意义、有人文情怀、有产品价值的国际一流医疗器械企业。