学术前沿 | 脊髓电刺激(SCS)改善交感神经切除术后雷诺综合征

来自:学术前沿 日期:2024-12-11 13:29

近日,浙江大学医学院附属第二医院神经外科朱君明主任团队在《Cureus》发表了一篇关于“脊髓电刺激(SCS)改善交感神经切除术后雷诺综合征”的病例报道。

图片

雷诺综合征是一种血管疾病,发病率3%-5%,主要是由血管痉挛引起,通常由寒冷暴露或应激引发,表现为四肢变色、麻木和疼痛,特别是手指和脚趾,严重者可发生指(趾)端溃疡,偶有坏死。对于有持续或复发性症状的雷诺综合征患者,特别是那些对药物或手术干预无效的患者,有效的治疗选择仍然有限。


本文报道的病例,患者在接受药物治疗和交感神经切除术后,病情依旧复发、进展,最后手指坏死。通过脊髓电刺激(SCS)后,患者症状明显改善,提示SCS可作为难治性雷诺综合征潜在治疗的新方法。



病例简介


患者男性,60岁,双手指尖麻木、刺痛5年多,糖尿病病史,无遗传性疾病家族史,无吸烟史。通过体格检查和实验室结果显示没有腕管综合征、风湿病或系统性硬化症的迹象,tinel征阴性,抗核抗体水平正常,类风湿因子和抗环瓜氨酸多肽均正常,确诊为雷诺综合征。

图片

首次发作无明显诱因。暴露于寒冷环境中经常引发/加剧间歇性指尖疼痛和麻木(伴随指尖变色)。服用硝苯地平、贝前列素促进循环,羟考酮治疗疼痛,疗效不佳。2016年,行T2至T4交感神经切除术,症状短暂缓解,几周后再次复发。近一年内病情迅速恶化,双手多指远端指骨坏死,同时,患者拒绝截肢的建议。

视觉模拟量表(VAS)评分10/10;

患者健康问卷-9(PHQ-9)评分27/27;

Oswestry功能障碍指数问卷表(ODI)评分49/50。




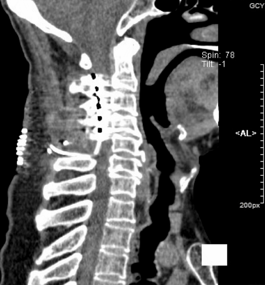
脊髓电刺激术(SCS)


通过全面的评估,拟行脊髓电刺激术(SCS)来缓解疼痛。全麻,在C2-C4节段植入5-6-5片状电极。使用外部刺激器进行测试,VAS评分降低到6分,患者自述“血流回到指尖的感觉”。随后植入了一个永久性刺激器(刺激参数:幅度:1.8mA;脉宽:200µs;频率:40Hz;周期:开900s,关600s)。术后,患者VAS评分降低到5分,PHQ-9评分13分,ODI评分42分。术后9个月随访,VAS评分为4分。

图片




讨论


该病例特点:患者在交感神经切除术后雷诺症状复发,并进展为指尖坏死,但通过脊髓电刺激术(SCS),患者症状显著改善。交感神经切除术通常旨在通过破坏指动脉的交感神经信号来缓解血管痉挛,理论上可以减少交感神经系统的过度活动并促进血管舒张。然而,交感神经切除术的疗效仍然不一致,术后雷诺症状的复发率很高。这种可变性可能源于缺乏标准化的手术技术和不同患者的有效性,这削弱了其作为首选治疗方案的作用。


脊髓电刺激(SCS)对雷诺综合征产生治疗作用机制尚明确,其潜在机制假说主要集中在对交感神经系统的调节上。有人认为,脊髓电刺激可能通过减少交感神经流出和逆行激活感觉纤维发挥作用,进而释放降钙素基因相关肽(CGRP)等血管舒张神经肽。CGRP具有强大的血管舒张作用,其释放可能有助于抵消受影响区域的血管痉挛,从而改善循环和缓解病症。该病例中,脊髓电刺激术后的改善可能确实与这些神经和血管舒张机制有关,其疗效优于单独交感神经切除术。




结语


作者认为鉴于交感神经切除术的高复发率,以及对难治性雷诺综合征病例缺乏持续有效的药物治疗,SCS可能是一种值得被推荐的治疗方案。该病例有助于越来越多的证据支持SCS在治疗严重和复发性雷诺综合征的潜在作用,突出了继续探索其作用机制和临床应用的必要性。



参考文献:

Pan K, Jiang H, Wu H, Zhu J, Zhang J. Improvement of Post-sympathectomy Raynaud's Syndrome With Spinal Cord Stimulation. Cureus. 2024 Oct 12;16(10):e71340. doi: 10.7759/cureus.71340. PMID: 39534828; PMCID: PMC11555124.


文献下载

2024(1.0)Improvement of Post-sympathectomy Raynaud's Syndrome With Spinal Cord Stimulation. pdf 


联系方式

江苏常州市新北区华山中路26号D3006
Phone: 86-519-6998 9503